en
English
German
French
E-mail Address
info@sedefhastaligi.com
Information and Appointment
+90 212 677 24 24
Home
About Me
Diseases
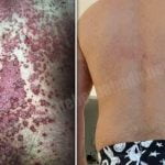
Psoriasis
Eczema Disease
Seborrheic Dermatitis
Lichen Planus
Ichthyosis Disease
Skin care
Patient Gallery
Videos
Blogs
FAQ
Contact
Patient Gallery
Home
Patient Gallery
0
The number of patient pictures we have published since 2010. Please follow our social media accounts for more.